Τι είναι το σύνδρομο λευκού πνεύμονα: Η μυστηριώδης κινέζικη πνευμονία που προκαλεί παγκόσμια ανησυχία (vid)

Επιμέλεια:  Newsroom
Τι είναι το σύνδρομο λευκού πνεύμονα: Η μυστηριώδης κινέζικη πνευμονία που προκαλεί παγκόσμια ανησυχία (vid)
Το σύνδρομο του λευκού πνεύμονα ξεκίνησε από την Κίνα και έχει εντοπιστεί σε αρκετές ευρωπαϊκές χώρες.

Συναγερμός έχει σημάνει στις υγειονομικές αρχές στην Ευρώπη από το σύνδρομο του «λευκού πνεύμονα» που βρίσκεται σε έξαρση στην Κίνα. Κρούσματα της πνευμονίας με τα περίεργα συμπτώματα έχουν εντοπιστεί σε αρκετές ευρωπαϊκές χώρες, ενώ φαίνεται πως η κινεζική πνευμονία έφτασε και στην Ελλάδα.

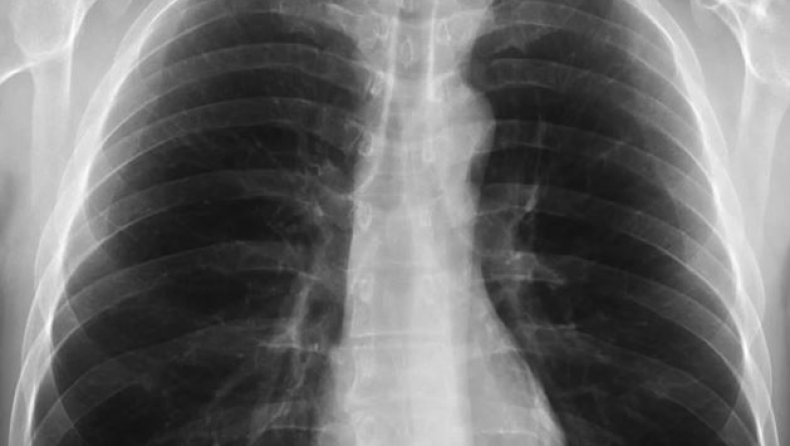
Χαρακτηρίζεται περιπατητική πνευμονία ή σύνδρομο του λευκού πνεύμονα γιατί στην ακτινογραφία του ασθενούς ο πνεύμονας φαίνεται σαν αν είναι λευκός. Τα συμπτώματα περιλαμβάνουν πονόλαιμο, κόπωση και παρατεταμένο βήχα που μπορεί να διαρκέσει για εβδομάδες ή και μήνες.

Μόλις κάποιος μολυνθεί, τα συμπτώματα μπορεί να εμφανιστούν μετά από μία έως τέσσερις εβδομάδες και συνήθως διαρκούν περισσότερο από την τυπική πνευμονία. Το βακτήριο μεταδίδεται μέσω του βήχα και του φτερνίσματος και συνήθως μεταξύ ατόμων που περνούν πολύ χρόνο μαζί, όπως σε νοικοκυριά, σχολεία, φοιτητικές εστίες και στρατιωτικές ή νοσηλευτικές εγκαταστάσεις και νοσοκομεία.

Η λοίμωξη μπορεί να εξελιχθεί σε πνευμονία, όπου μπορεί επίσης να παρουσιαστεί δύσπνοια.

 

Τζανάκης: «Προσοχή και στους εξασθενημένους υπερήλικες»

«Ο λευκός πνεύμονας αναφέρεται στην ακτινολογική απεικόνιση ορισμένων πνευμόνων και αντί να μαυρίζει η ακτινογραφία, έχουμε διηθήματα. Αν αυτά εμφανιστούν σε μεγάλη έκταση του πνεύμονα – ιδιαίτερα όταν υπάρχει αυτό που λέμε σύνδρομο αναπνευστικής δυσχέρειας, που γεμίζουν σχεδόν όλες τις κυψελίδες με υγρό – τότε σχηματίζεται μια λευκή εικόνα αντί το μαύρο που περιμένουμε στο φυσιολογικό και έτσι κατ ευφημισμόν ονομάστηκε εικόνα λευκού πνεύμονα» εξήγησε αναλυτικά ο καθηγητής Πνευμονολογίας της Ιατρικής Σχολής του Πανεπιστημίου Κρήτης, Νίκος Τζανάκης, μιλώντας στην ΕΡΤ, ενώ παράλληλα τόνισε πως αυτό το στοιχείο μπορεί να παρουσιαστεί σε όλες τις πνευμονίες, ανεξαρτήτως αιτίας.

Μεταξύ άλλων ο κ. Τζανάκης σημείωσε: «Έχουμε να κάνουμε με ένα πρόβλημα που ξεκίνησε από την Κίνα, η οποία και πάλι δίνει θα έλεγα καθυστερημένα και ελλιπείς πληροφορίες» τονίζοντας πως ξυπνούν συνειρμοί του φθινοπώρου του 2019 και της έναρξης της πανδημίας του Covid, αλλά όπως υπογράμμισε σύμφωνα με ορισμένα επιδημιολογικά γεγονότα «το γεγονός ότι πλήττονται μόνο παιδιά και όχι ο υπόλοιπος πληθυσμός δείχνει πως κατά πάσα πιθανότητα είναι αναπνευστικές λοιμώξεις του κατώτερου αναπνευστικού, από πάρα πολλά αίτια που πλήττουν τα παιδιά της Κίνας και ορισμένων χωρών, μετά από μια κατάσταση καραντίνας η οποία αδυνάτισε το ανοσοποιητικό τους σύστημα».

Επιπλέον, πρόσθεσε πως «έχουν ακουστεί μερικά καινοφανή αίτια, όπως είναι το μυκόπλασμα της πνευμονίας, ένα κοινό αίτιο που προκαλεί την πνευμονία κάθε χρόνο και σε εμάς και το οποίο κάθε πέντε χρόνια κάνει μία θα έλεγα επιδημιολογική έξαρση και δεν αποκλείεται φέτος να συνέπεσε αυτή με την κατάσταση στην Κίνα».

«Το μυκόπλασμα της πνευμονίας και όλες αυτές οι ιώσεις βλάπτουν κυρίως παιδιά και βλάπτουν επίσης και εξασθενημένους υπερήλικες» υπογράμμισε ο καθηγητής και πρόσθεσε πως «το μυκοβακτηρίδιο της πνευμονίας κολλάει με σταγονίδια. Είναι ένα αναπνευστικό βακτήριο, με λίγες ιδιομορφίες» όμως σημείωσε πως κολλάει πολύ δυσκολότερα από τις αναπνευστικές ιώσεις, δηλαδή θέλει σχετικά στενή επαφή.

Με κάθε επιφύλαξη – λόγω της αδιαφάνειας σε που σε πολλές περιπτώσεις χαρακτηρίζεται η Κίνα -, όπως τόνισε ο κ. Τζανάκης αυτή είναι η πιθανότερη εξήγηση γύρω από την έξαρση των τελευταίων ημερών.

Δεν υπάρχει σχετικό εμβόλιο σύμφωνα με τον καθηγητή, όμως υπογράμμισε πως «υπάρχουν πολύ καλά αντιβιοτικά που το καταπολεμούν, τα οποία τα έχουμε στη διάθεσή μας». Τέλος έκανε λόγο και για ανθεκτικό στέλεχος μυκοπλασμάτων σε κάποια αντιβιοτικά πρώτης γραμμής, από το 2019-2020 σύμφωνα δεδομένα από την Κίνα και από χώρες της Άπω Ανατολής, γεγονός που είναι ανησυχητικό για την Ελλάδα, υπογραμμίζοντας πως η χώρα μας είναι πρωταθλήτρια στην αντοχή των αντιβιοτικών.