Τρόμος από παρασιτικό σκουλήκι: Προκαλεί καρκίνο και εισβάλλει στο σώμα... χωρίς να το καταλάβεις

Επιμέλεια:  Newsroom
Τρόμος από παρασιτικό σκουλήκι: Προκαλεί καρκίνο και εισβάλλει στο σώμα... χωρίς να το καταλάβεις
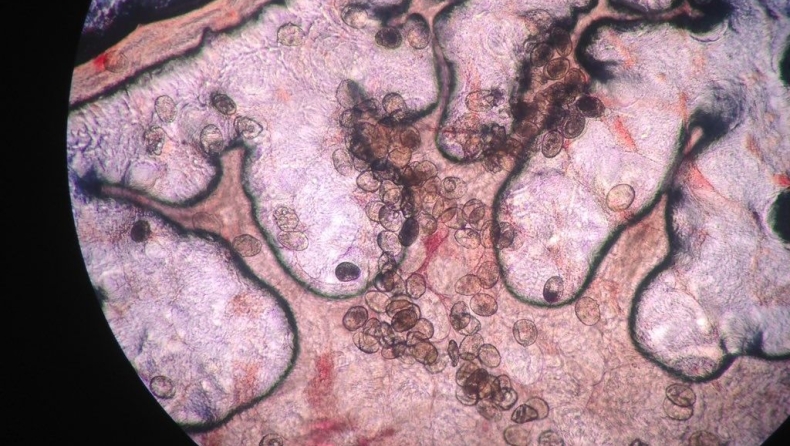
Το παράσιτο προκαλεί τον «πυρετό σαλιγκαριών» και στα αρχικά στάδια της μόλυνσης είναι πιθανόν να μην ανιχνευθεί

Εάν ένα σκουλήκι προσπαθούσε να τρυπώσει στο δέρμα σας, το πιο πιθανό θα ήταν ότι θα το καταλαβαίνατε, αλλά οι επιστήμονες έχουν εντοπίσει πώς ένα παράσιτο που ελίσσεται το κάνει χωρίς να το παρατηρήσετε.

Το Schistosoma mansoni - επίσης γνωστό ως blood fluke - είναι ένα επίπεδο σκουλήκι μήκους 17 χιλιοστών που προκαλεί μια χρόνια ασθένεια που ονομάζεται εντερική σχιστοσωμίαση, η οποία σκοτώνει εκατοντάδες χιλιάδες ανθρώπους κάθε χρόνο.

Διαβάστε τη συνέχεια στο newsbomb.gr